Essa apaixonante forma de ortodontia traz inúmeros benefícios aos pacientes. Maior conforto e estética são os principais.
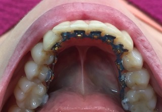
A Ortodontia lingual teve início no começo da década de 70 e um dos principais pioneiros foi um dentista chamado Craven Kurz em Hollywood, Califórnia – lugar de gente famosa do cinema e televisão. De lá para cá os bráquetes (pecinhas coladas aos dentes) evoluíram muito e adquiriram um formato mais confortável, menor e sem pontas.

Também surgiu o primeiro bráquete Autoligado, o da GAC, e a técnica simplificada BBS que deu mais autonomia ao dentista por excluir etapas onerosas e complexas.
Para alguns pacientes a grande dúvida é quanto a interferência na fala. Porém os usuários destes bráquetes, pacientes em tratamento, relatam que a interferência se dá apenas nos primeiros 7 a no máximo 15 dias, quando a língua adquire nova postura (mais posterior e recuada) e a fala volta ao normal. Este mesmo recuo da língua é o que torna estes bráquetes mais confortáveis. Pois diferentemente da musculatura dos lábios e bochechas a língua é mais adaptável e “foge” do incômodo.
Saiba mais em: http://www.henriquebacci.com.br/beverlyhills/
